One And A Half Syndrome Wikipedia
One Half Syndrome Youtube
Eight And A Half Syndrome
Eight And A Half Syndrome American Academy Of Ophthalmology
One And A Half Syndrome American Academy Of Ophthalmology
Reel Example One And A Half Syndrome Lesion On Right Youtube
Internuclear Ophthalmoplegia Wikipedia
Supranuclear Disorders Of Ocular Motility
Parinaud Syndrome Eyewiki
Nystagmus Eyewiki
Dermoid Cyst American Association For Pediatric Ophthalmology And Strabismus
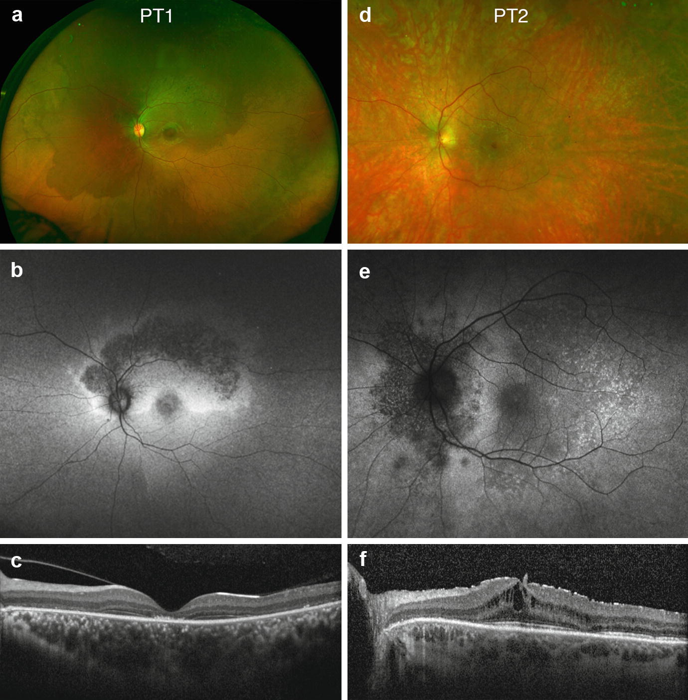
Characteristics Of Visual Electrophysiology In Inflammatory Disorders Springerlink
Recognizing The White Dot Syndromes
Cataracts In Children Congenital And Acquired Eyewiki Glaucoma Cataract